Imagerie rétinienne fidèle à la réalité : transformer le diagnostic avec la technologie Ultra-Grand Champ en couleur RVB (rouge-vert-bleu)
Et si l’imagerie rétinienne pouvait non seulement offrir le champ de vision le plus large possible, mais aussi restituer les couleurs de la rétine aussi naturellement qu’elles apparaissent lors d’un examen ? La nouvelle modalité couleur RVB (rouge-vert-bleu) Ultra-Grand Champ (UWF) du California réalise cette avancée révolutionnaire, transformant la manière dont les pathologies rétiniennes sont diagnostiquées et prises en charge.
Dans un article publié dans Modern Retina, le Dr Ali Erginay (Hôpital Lariboisière, France), un des premiers utilisateurs de la technologie RVB, explore le potentiel transformateur de cette innovation. En intégrant un laser bleu au spectre traditionnel rouge et vert, cette technologie offre une vue haute résolution et fidèle à la réalité de la rétine, repoussant les standards de l’ophtalmologie moderne.

Figure 1. (a) Décollement de la rétine observé sur une capture rétinienne de 200° en regard primaire grâce à l’imagerie UWF en mode RVB.

Figure 1. (b) L’orientation du regard vers le haut révèle des déchirures rétiniennes supérieures et supéro-nasales.
- Précision améliorée de l’imagerie
La modalité RVB combine des lasers rouge, vert et bleu pour créer des images composites qui reflètent fidèlement les couleurs naturelles de la rétine. Cette avancée améliore considérablement la précision diagnostique, permettant aux praticiens de détecter des changements subtils tels que les drusen, les membranes épirétiniennes et les variations de pigments maculaires. - Avantages cliniques pour les praticiens
Les cliniciens rapportent que la modalité RVB simplifie l’interprétation des images et améliore la classification des maladies telles que la dégénérescence maculaire liée à l’âge (DMLA) et la rétinopathie diabétique. Elle améliore également la visualisation du nerf optique et de la couche de fibres nerveuses rétiniennes, élargissant ainsi les capacités diagnostiques.
Un nouveau standard en imagerie rétinienne

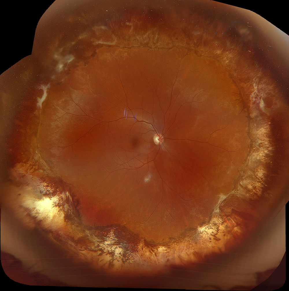
Figure 2. Image UWF RVB avec auto-montage d’un patient après une chirurgie de décollement de la rétine montrant une image panoramique en couleur de presque toute la rétine.
La modalité couleur RVB UWF représente une étape majeure en ophtalmologie, offrant une précision, une efficacité et un confort inégalés pour les patients. En capturant une vue panoramique à 200° de la rétine dans des couleurs fidèles à la réalité, elle donne aux cliniciens des outils avancés pour surveiller et gérer les maladies rétiniennes, établissant un nouveau standard dans les soins rétiniens.
Pour plus de détails, lisez l'article complet sur Modern Retina : Imagerie rétinienne fidèle à la réalité avec la nouvelle modalité couleur RVB Ultra-Grand Champ.
Pour écouter directement le Dr Erginay parler de la technologie RVB, regardez son interview avec l’éditeur de Modern Retina lors du congrès Euretina 2024 : Euretina 2024 : Dr Ali Erginay sur les modalités d’imagerie RVB.
Courtesy of Modern Retina.
Plus d’images disponibles dans l’article original via ce lien :
https://www.modernretina.com/view/true-to-life-retinal-imaging-with-the-new-ultra-widefield-color-rgb-modality